Can a Chipped Tooth Grow Back Naturally?

Can a Chipped Tooth Grow Back Naturally
Posted On April 13, 2026

A chipped tooth can happen when you least expect it—biting into something crunchy, a minor fall, or even from everyday wear and tear. If you’re dealing with this issue, you might be wondering: Can a chipped tooth grow back naturally? It’s a common question, especially for patients looking to avoid dental procedures.

In this guide, we’ll break down the truth about chipped teeth, what your body can and can’t heal, and the best options for restoring your smile.

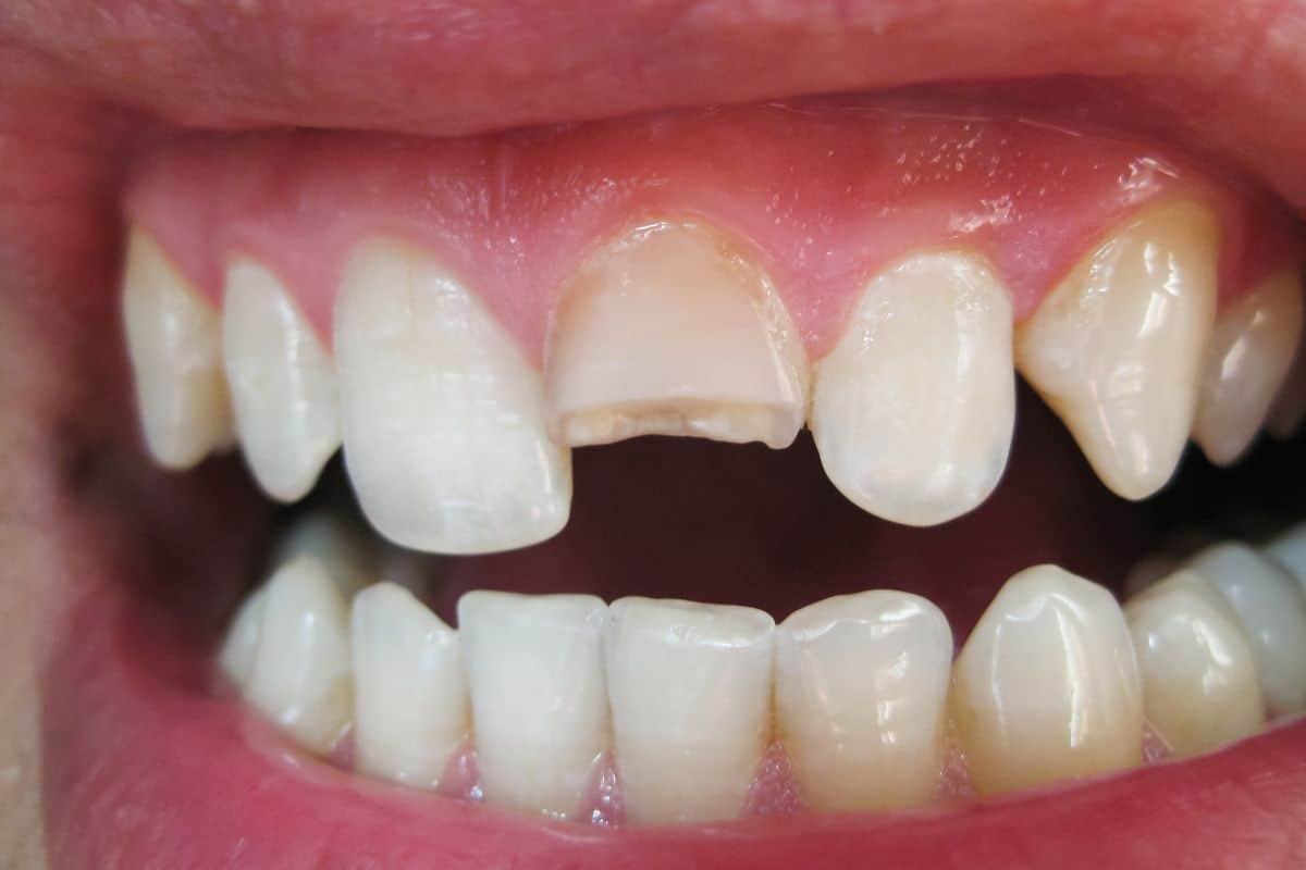
Can a Chipped Tooth Heal or Grow Back?

The short answer is no—a chipped tooth cannot grow back naturally. Unlike bones, which can regenerate over time, teeth do not have the ability to repair or regrow lost enamel.

Your teeth are made up of several layers:

  • Enamel (outer layer)
  • Dentin (middle layer)
  • Pulp (inner tissue with nerves and blood vessels)

Enamel, the part that usually chips, is the hardest substance in your body—but once it’s gone, it’s gone for good. Your body does not regenerate enamel, which means a chipped tooth will not “grow back” on its own.

That said, your tooth may feel better over time if the damage is minor, but the structure will remain compromised without proper dental care.

Why You Shouldn’t Ignore a Chipped Tooth

Even if your chipped tooth doesn’t hurt, it’s important not to ignore it. Small chips can turn into bigger problems if left untreated.

Here in Denver, where active lifestyles are common—from hiking in the Rockies to skiing in the winter—dental injuries aren’t unusual. Many patients assume a small chip isn’t a big deal, but it can lead to:

  • Increased sensitivity to hot and cold
  • Rough edges that irritate your tongue or cheeks
  • Higher risk of decay or infection
  • Further cracking or breakage

Seeing a dentist for chipped tooth treatment can prevent more complex and costly issues later.

What Happens After a Tooth Chips?

When a tooth chips, the extent of the damage determines what happens next. Some people may not feel any pain, while others experience immediate sensitivity or discomfort.

Here’s what typically occurs:

Minor Chips

If only a small portion of enamel is lost, you may notice a rough edge but little to no pain. These cases are often easy to fix.

Moderate Chips

When the dentin layer is exposed, sensitivity becomes more noticeable. You might feel discomfort when eating or drinking.

Severe Chips or Breaks

If the pulp is affected, pain can be significant, and the tooth may require more extensive treatment, such as a root canal or crown.

No matter the severity, it’s always best to seek professional dental care rather than waiting for symptoms to worsen.

Can Your Body Repair Any Part of a Tooth?

While enamel cannot regenerate, your body can protect and strengthen teeth through a process called remineralization.

Saliva contains minerals like calcium and phosphate that help repair microscopic damage to enamel. However, this process only works for very early-stage wear—not for visible chips or fractures.

Think of it this way: remineralization can help prevent damage, but it cannot rebuild a broken tooth.

Treatment Options for a Chipped Tooth

The good news is that modern dentistry offers several effective ways to restore a chipped tooth quickly and naturally. When you visit our dental office, your dentist will recommend the best treatment based on the extent of the damage.

Dental Bonding

For minor chips, dental bonding is one of the most common solutions. A tooth-colored resin is applied and shaped to match your natural tooth.

This treatment is:

  • Quick (often completed in one visit)
  • Affordable
  • Minimally invasive

Dental Veneers

If the chip is more noticeable, especially on front teeth, veneers can provide a long-lasting cosmetic solution. These thin shells are custom-made to cover the front surface of your tooth.

Dental Crowns

For larger chips or weakened teeth, a crown may be necessary. A crown covers the entire tooth, restoring its shape, strength, and function.

Root Canal Therapy

If the pulp is damaged, a root canal may be required before placing a crown. This procedure removes infected tissue and saves the tooth.

Getting the right dentist for chipped tooth treatment ensures you receive care tailored to your needs and long-term oral health.

What to Do Immediately After Chipping a Tooth

If you’ve just chipped a tooth, taking the right steps can make a big difference:

  • Rinse your mouth with warm water
  • Save any broken pieces if possible
  • Avoid chewing on the affected side
  • Use dental wax if the edge is sharp
  • Take over-the-counter pain relief if needed

Most importantly, don’t delay—schedule a visit for professional dental care as soon as possible.

Preventing Chipped Teeth in Denver’s Active Lifestyle

Living in Denver means enjoying outdoor activities year-round. While that’s great for your health, it can also increase the risk of dental injuries.

Here are some simple ways to protect your teeth:

  • Wear a mouthguard during sports
  • Avoid chewing ice or hard foods
  • Don’t use your teeth as tools
  • Address teeth grinding with a nightguard
  • Maintain regular dental checkups

Preventive dental care goes a long way in keeping your smile intact.

The Importance of Timely Dental Care

Delaying treatment for a chipped tooth can lead to complications that require more extensive procedures. What starts as a small cosmetic issue can quickly become a functional problem.

By choosing to visit our dental office early, you can:

  • Preserve more of your natural tooth
  • Avoid pain and sensitivity
  • Save time and money in the long run
  • Restore your smile with confidence

In a city like Denver, where your smile is part of your active and social lifestyle, keeping your teeth healthy is essential.

Why Choose Primary Dental?

At Primary Dental, we understand how stressful dental injuries can be. Our experienced team provides compassionate, high-quality care for patients across Denver and the surrounding areas.

When you come to us for chipped tooth treatment, you can expect:

  • Personalized treatment plans
  • Advanced technology for precise results
  • Comfortable and welcoming environment
  • Flexible scheduling options

Whether your chip is minor or severe, we’re here to help restore your smile quickly and effectively.

Restore Your Smile with Confidence

A chipped tooth may seem like a small issue, but it’s not something your body can fix on its own. The sooner you address it, the easier and more affordable the treatment will be.

If you’re in Denver and dealing with a chipped tooth, don’t wait for the problem to get worse. Get expert care from a trusted dentist for chipped tooth treatment and protect your long-term oral health.

Book Your Appointment Today with Primary Dental. We’re here to help you smile with confidence again. Whether you need a quick fix or a comprehensive solution, our team is ready to provide top-quality dental care tailored to your needs.

FAQs

1. Can a chipped tooth fix itself over time?
No, a chipped tooth cannot repair itself. While symptoms may improve, the lost structure does not grow back and requires professional treatment.

2. Is a chipped tooth considered an emergency?
It depends on the severity. Minor chips may not be urgent, but larger breaks or pain should be addressed immediately by a dentist.

3. How long can I wait to fix a chipped tooth?
It’s best not to wait. Even small chips can worsen over time, so early treatment is recommended.

4. Does fixing a chipped tooth hurt?
Most treatments, like bonding, are painless and require little to no anesthesia. Your dentist will ensure you’re comfortable throughout the process.

5. How much does chipped tooth treatment cost?
Costs vary depending on the treatment needed. Bonding is typically more affordable, while crowns or veneers may cost more. A consultation will provide an accurate estimate.

Share: